Periodontology
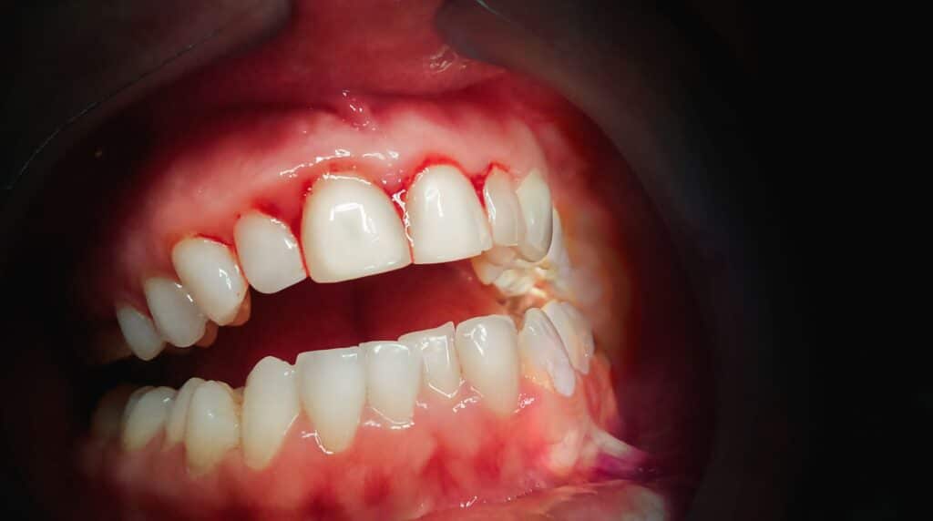
Do your gums bleed when you brush your teeth?
Do your gums bleed when you brush your teeth?
Healthy gums do not bleed, if you notice blood when you brush your teeth you should consult your dentist. The most likely cause of bleeding gums is gingivitis, an inflammation of the superficial gum tissue, which can be easily solved with simple cleaning techniques. However, it could be a sign of something more serious like Periodontitis, which is commonly known as gum disease. Gum disease can not be cured but can be managed with regular visits with your hygienist and a good home oral health routine.

learn more about periodontitis
Periodontitis
Periodontitis is also known as Gum Disease; it is an inflammatory condition that results in the destruction of the tissue and bone that secures the tooth into the jaw.


Periodontitis Overview
Periodontitis develops when the pocket surrounding the tooth is colonised by bacteria to the level that the immune system responds. The destruction caused by the inflammatory defences of the body is what characterises the disease. Because this condition is a host dependent disease, once periodontitis is established it becomes almost impossible to cure it. Therefore, we would rather the disease is prevented before it even occurs, this is why we encourage regular visits to the hygiene team.
Treatment
If a patient does develop periodontal disease, then our aim is to control the disease, so no further damage occurs. This is achieved by making sure that each patient has an individual care plan that allows them to control their own periodontal condition. The hygiene team will the provide support and as required, deeper cleaning so that the pocket inflammation can resolve, and further destruction prevented.


Aftercare
Periodontitis is a chronic condition, which means that once you have it you can not cure it, but you CAN control it. At the Grange Dental Practice, our Dentists and Therapists work with you to give you great Oral Health advice and also offer periodontal treatment when required. If you are diagnosed with periodontitis, it is VITAL that you follow the oral hygiene instructions from your dentist and hygienist on a DAILY basis.
BOOK YOUR VISIT WITH THE HYGIENE TEAM
The hygiene team will the provide support and as required, deeper cleaning so that the pocket inflammation can resolve, and further destruction prevented.
WANT TO KNOW MORE?
Give us a call. We have an in house treatment co-ordinator that will guide you and answer any questions through out the whole process .
